hip dysplasia in cats uk
Our state-of-the-art hospital is led by internationally renowned Certified Specialists committed to providing the highest standards of care. Wheelchairs and associated products walking aids for disabled pets and those recovering from treatment Is your pet having difficulty walking.
Hip Dysplasia In Cats Causes Symptoms Prevention My Family Vets
It is more common in.
. For dogs and for cats with partitioned areas so patients cannot see each other so that stress is reduced to an absolute minimum. A Wheelchair accessories or other aid will make them mobile again ready to play and get exercise for a more happy and healthy life. گربه پارسی Gorbe-ye Pârsi is a long-haired breed of cat characterized by its round face and short muzzle.
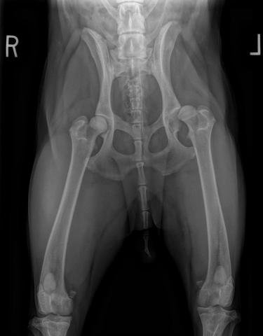
The clinical signs are very variable and include stiffness. In a normal hip joint both are perfectly round and fit snuggly together. Recognized by the cat fancy since the late 19th century Persian cats were first.
But when you need it the cat will provide it. A percentage of cats that take methimazole experience side effects including loss of appetite vomiting lethargy and occasionally blood cell abnormalities. The hip joint is made up of a ball and socket the ball being the head of the femur and the socket being the cup in the pelvis.
Fida Premium Dog Bed Orthopaedic Memory Foam Washable Oxford Fabric Cover for Small Meidum Large Dogs Cats Eases Pet Arthritis Hip Dysplasia Pain Therapeutic Supportive Upcoming deal 53891237. If you care for an older injured or disabled pet you have come to the right place. There are varying levels of hip dysplasia from mild to severe.
These are the basic requirements for safely breeding healthy happy cats. Cats do not constantly ask for human attention. Occasionally one leg may be shorter than the other.
Hip Dysplasia can be a cause of lameness in cats the incidence of this disorder is relatively rare in cats but some breeds are more likely to have the genes for hip dysplasia than other breeds. Flat-chested kitten syndrome a deformity that can range from mild to severe. As an ancient breed the Maremma Sheepdog is a healthy and hardy breed for the most part.
Cats can be van all white or mostly white with faint markings on the ears and tail bi-color mitted white paws in front white up to hips on back legs or colorpoint in lilac chocolate red blue or cream. The Persian cat Persian. Most cats are pretty lazy that they like to sleep for 16 hours a day.
The Orthopedic Foundation for Animals provides DNA testing and free information about companion animal genetic diseases. There are rarer side effects too including severe facial itching with self-induced trauma blood clotting disorders or. Even playing with cats is easy.
Canine hip dysplasia arises during a dogs juvenile growth phase and results from a malformed hip joint. Get your cats dogs and rabbits insured with the most trusted pet insurance provider. Origin 1960s California USA.
It is also known as the Persian Longhair in English-speaking countriesThe first documented ancestors of Persian cats were imported into Italy from Persia around 1620. Looks Large-bodied pointed cat. Like all dogs however they are prone to certain health problems many of them related to the breeds large size.
Kittens who survive to adulthood usually show no signs once they reach maturity. The Orthodog Hip brace helps dogs that suffer from arthritis mild to moderate hip dysplasia decreased endurance during activity hip pain lower back pain or weakness and back leg limping it also supports the hip after dislocation to prevent re-injury. According to the Cornell University College of Veterinary Medicine hip dysplasia is the most common orthopedic condition in medium and large breed dogs with an incidence rate of more than 70 percent in some pure breeds.
Regardless it does not typically produce symptoms in babies less than a year old. Hip dysplasia abnormal development of the hip joints seen especially in Maine Coon cats but also Persians Siamese and other breeds Patella luxation dislocation of the kneecap which has been reported more commonly in Abyssinian and Devon Rex cats. Larger cat breeds are more prone to developing hip dysplasia than smaller cat breeds.
Hip dysplasia may occur at birth or develop in early life. If the ball femoral head is not held correctly in place the socket acetabulum may be more shallow than usual. Ultrasound and a state-of-the-art Toshiba 160 slice CT Scanner.
Affected cats inherit the gene from both parents even when neither parent has shown any outward predisposition to hip dysplasia. Physio-Vet is a specialist second opinion vet in Cheshire delivering veterinary surgical and physiotherapy treatments for dogs and cats. It can occur in Bengals as early as 1 year of age.
Breeding cats is a serious time intensive expensive undertaking. Maremma Sheepdogs are prone to hip dysplasia as well as other musculoskeletal issues. Rehabilitation of Neurology Conditions.
Intervertebral Disc Disease. It most frequently affects large rapidly growing dogs although small dogs and cats can also be affected. Look out for the following symptoms in your cat since hip dysplasia can cause paralysis.
56 In females however the risk of developing hip dysplasia was higher for those spayed at. Hip dysplasia is the commonest orthopaedic condition in dogs. Although hip dysplasia might not be a massive issue for many cats the condition can cause arthritis which can be painful to your feline companion.
Hip dysplasia is where the head of the femur is an odd shape and does not fit in the socket perfectly. Willows is one of Europes leading small animal Orthopaedic referral centres treating over 1000 new patients a year. The onset of clinical signs is variable but hip dysplasia is most commonly diagnosed between 6 and 12 months of age.
A study of 1500 Labrador retrievers identified no difference in the risk of hip dysplasia in males at any neuter period compared to intact dogs. - HipElbow Dysplasia - Cruciate damage - Intervertebral Disc Disease - Weight management - TendonLigament injuries - Soft tissue strain and tears - Muscle imbalance - Osteoarthritis Please 01332 553396 for more information. See inside reception and the ground floor.
Cats require less time and energy of their owners. Cats can be indoor or outdoor and there is no need for walks. Common conditions she can treat are.
Hip dysplasia is an abnormality of the hip joint where the socket portion does not fully cover the ball portion resulting in an increased risk for joint dislocation. But can also be a very rewarding experience incorporating a lot of very cute kittens. Fortunately many cats recover on their own although a few relapse.
Petplan is the UKs favourite pet insurance provider with over 40 years of experience. Hip dysplasia which in severe cases can cause lameness.
Hip Dysplasia In Cats Signs Treatment And Prevention Daily Paws
Hip Dysplasia Fitzpatrick Referrals
Hip Dysplasia Oakdale Veterinary Group
Selective Breeding And Smaller Cats Would Help To Resolve The Problem Of Hip Dysplasia In Large Cat Breeds Poc
Hip Dysplasia Cornell University College Of Veterinary Medicine
New Knowledge And New Treatments For Feline Hip Dysplasia College Of Veterinary Medicine At Msu
Pin On Amazing Maine Coon Cats
Lameness Hip Dysplasia Cats Youtube
What Is Hip Dysplasia In Cats Causes Symptoms And Treatments Cat Health Problems Cat Care Tips Cat Skin Problems
What Is Hip Dysplasia In Cats Causes Symptoms And Treatments In 2021 Cat Health Problems Older Cats Care Cat Skin Problems
Why Do Maine Coon Cats Get Hip Dysplasia
Cat Arthritis How To Read The Signs Cat Health Pet Blog Cat Care
What Is Hip Dysplasia In Cats Causes Symptoms And Treatments Cat Care Cats Cat Health Problems


